胃腸肝膽科醫師錢政弘在臉書分享這起個案,指出這名阿公開朗熱心、喜歡當志工,假日還常登山健行,健康狀況一直不錯。
直到某天,阿公突感頭暈、心悸,被送往急診,血壓飆到200毫米汞柱,經檢查發現膽固醇偏高,被認定是高血脂導致高血壓。
之後,阿公非常重視健康,採取少油少鹽的清淡飲食,不敢多吃,深怕膽固醇再升高。幾個月下來,血壓與血脂雖然控制下來,卻也變得食量變小、體力下降,體重減輕3至4公斤。當時家屬認為可能是降血脂藥物副作用,未多加注意。
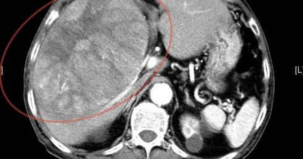
直到2個月前,阿公出現上腹疼痛及胃酸逆流,至錢政弘門診就醫。因右上腹壓痛明顯,初步懷疑是膽囊問題,安排腹部超音波檢查,結果竟發現肝臟有一顆高達15公分的腫瘤。進一步電腦斷層確認為晚期肝癌,無法開刀,治療後不久便不幸離世。
家屬對診斷結果感到錯愕,疑惑道:「阿公不是吃得很健康嗎?怎麼會罹患肝癌?為什麼膽固醇還會高?」
錢政弘指出,這其實是「腫瘤附屬症候群」的典型表現。肝癌細胞會刺激HMG-CoA還原酶(HMG-CoA reductase)過度表現,進而促進膽固醇合成,同時又妨礙肝細胞的正常代謝,造成血中膽固醇異常升高。
此外,肝癌細胞也可能大量消耗血糖,或分泌類胰島素生長因子(IGF-II),導致低血糖,進而出現頭暈、心悸、甚至昏迷等症狀。
「所以阿公一開始頭暈、心悸、血壓高、膽固醇高的問題,很可能就是肝癌造成的,只是當時沒有腹痛,沒有聯想到是肝臟的疾病。」錢政弘說到。
錢醫師也提醒,長者若在短期內出現體重減輕、體力變差、異常代謝數據變化(如膽固醇飆升),不應僅歸因於飲食與藥物影響,應積極尋求進一步影像檢查,尤其腹部超音波,才能避免錯過關鍵黃金治療期。



